Top General & Cosmetic Dentist in Coppell, TX
Bring Out the Best in Your Smile
We offer a wide variety of services for you

Learn what real patients like you have to say about their experiences
Does your smile shout “Confidence”?
The main theme in these patients’ testimonials is confidence. Watch and listen as these patients explain how Dr. Peterson changed their lives for the better. All of the patients in this video exude confidence, and it’s because they now love their smiles. The lesson here is: Don’t underestimate the power of a great smile. If you want more confidence, choose James Peterson Family & Cosmetic Dentistry in Coppell, TX.
Hear their stories in this video

Introducing your dentist,
Dr. James Peterson
Dr. James Peterson is an experienced dentist who is proud to serve residents of Coppell, TX and the surrounding areas. With a dedication to providing exceptional patient care, he likes to get to know each patient in the practice one on one to help them achieve their desired smile. Using advanced technology and dental techniques, Dr. Peterson is able to provide effective treatment options for improved aesthetics and function.
“I love when you get somebody who’s nervous and worried and gets work done with oral sedation, and afterwards says, ‘That was awesome. That was so much better than I thought.”
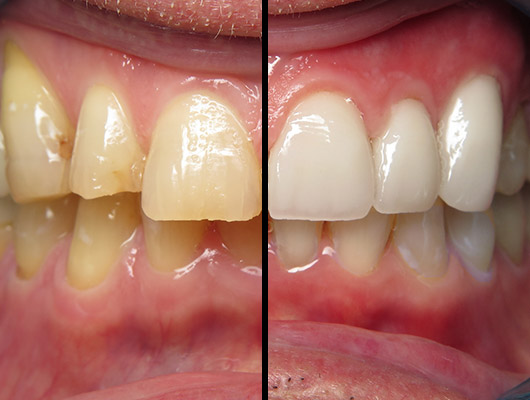
We Are Proud of the Amazing Smiles We’ve Helped Create
“All my treatments with Dr. Peterson have had excellent results.
Always satisfied.”












We Are Proud of the Amazing Smiles We’ve Helped Create
“All my treatments with Dr. Peterson have had excellent results.
Always satisfied.”












