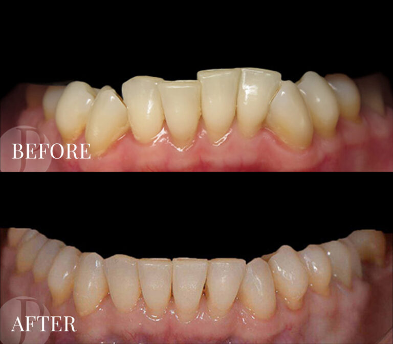
Case 23 – Invisalign®
Invisalign®
Properly aligned, straight teeth are not only attractive, but they are also healthier and more comfortable. Crooked teeth and an improper bite can lead to long-term dental problems that can become painful and expensive to fix. This is why Dr. James Peterson is pleased to offer Invisalign® removable, clear teeth aligners for his patients in Coppell, TX. Custom made for your teeth and your specific needs, Invisalign® is more attractive and comfortable than traditional metal braces. They are removable, making it easy to clean while undergoing treatment.

“We love Dr. Peterson! My family has been going to Dr. Peterson for years. We have gotten to know the staff very well and always look forward to our visits. They are very efficient with appointments and always provide excellent service in a warm, friendly office environment. I got Invisalign with Dr. Peterson – it was a pleasant and easy experience, and I could not be happier with my results!”
T.C.
“Dr. Peterson is an excellent dentist with a caring bedside manner and all the latest technology! I had pain-free fillings, crowns and Invisalign. My teeth have never looked or felt better!”
M.F.
“My experiences with Dr. Peterson have been the most pain-free dental visits ever. Dr. Peterson has a kind and caring bedside manner. Having the most up-to-date technology, Dr. Peterson provided me with perfect, painless fillings, crowns, and Invisalign braces in a timely, gentle manner. My teeth have never looked or felt better! It is obvious he is a perfectionist and a very skilled dentist. We have moved, and my husband and I drive 3 hours back to Coppell for our dental care with Dr. Peterson.”
M.
“I’ve been going to Dr.Peterson’s for years and now in the middle of Invisalign with them. The experience with Invisalign has been AMAZING like any other time I go to the office. I highly recommend Dr.Peterson for anyone looking for a great dentist!”
C.B. / Google / Oct 24, 2018
“I have been going to Dr. Peterson for almost ten years now and just love it there! The staff is always super friendly, and they make you feel like part of the family (not just another client trying to get in and out). From Invisalign to taking a permanent retainer off, then back on, then off, then back on again, they are there to help you get the PERFECT smile :)”
S.M.
There are several factors that can determine your teeth alignment: genetics, thumb sucking as a child, the loss of a tooth or teeth, and trauma to your face. Dental misalignment can end up causing other oral health problems, including dental malocclusion (a bad bite), abnormal enamel wear, trouble speaking and chewing, as well as toothaches and jaw pain. If Dr. Peterson sees any of these issues during your annual exam, he may recommend an orthodontic treatment, like Invisalign®.
The Invisalign® system is wonderful for adults who want straighter teeth without the pain, hassle, and visual impact of braces. While you do need to wear them for 20-22 hours a day, Invisalign® trays can be taken out for eating and brushing your teeth, as well as for special events and playing sports. Invisalign® clear aligners are far more discreet than traditional metal braces and do not use metal that can cut or poke your cheeks. Your friends and family will barely notice when you’re wearing your Invisalign® trays.
Your first set of Invisalign® trays will be created using digital impressions taken at James Peterson Family & Cosmetic Dentistry. Once they are ready, you will return to get your first sets of aligners along with care instructions from Dr. Peterson. You need to wear your aligners at 20-22 hours each day for the best results, removing them only for eating and cleaning. You will need to schedule a follow-up every 4-6 weeks so that Dr. Peterson can check the fit of your aligners and make additional digital impressions for your next set of aligners. The length of time that you need to use Invisalign® trays will vary based on the original position of your teeth and your cosmetic goals, but most patients can expect to wear them for about a year.
When your teeth are in alignment, it’s crucial to stop your teeth from moving back to their old position. Invisalign’s Vivera retainers are made with the same comfortable materials to help keep your teeth in their new position after your treatment is complete. Each retainer is custom made at the Invisalign® dental laboratory based on digital impressions taken once your treatment is complete. Dr. Peterson will talk to you about how many hours a day you should wear your retainer, plus how to care for it. He will also continue to monitory your teeth alignment and bite during your annual exams to ensure your teeth remain in the correct position.
Want straighter, healthier teeth without the hassle of traditional orthodontics? Schedule a consultation with Dr. Peterson to decide if you are a candidate for Invisalign®. After a thorough exam and consultation, Dr. Peterson will create a unique treatment plan for you and get you started on the path to a beautiful smile.

Most clear aligner cases take 6–18 months, depending on your goals and how consistently you wear the aligners.
Some minor corrections can move even faster. Most of our patients finish treatment in less than a year.
You may feel pressure for a day or two when switching to a new tray, but discomfort is minimal.
Most patients find aligners easier and more comfortable than traditional braces.
Each case is individualized, but many patients do. Attachments help guide tooth movement more precisely and are tooth-colored, so they’re barely noticeable.
Yes. In many cases, your aligners can act as whitening trays. We provide whiten gel to use in your retainers when you have finished your treatment.
If you are interested in getting straighter teeth with the Invisalign® or Invisalign Teen system, schedule a consultation at James Peterson Family & Cosmetic Dentistry to learn more.