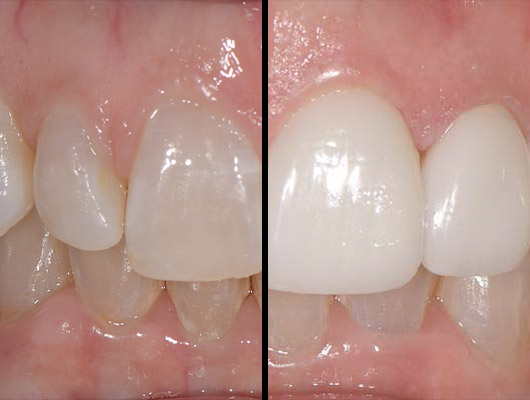
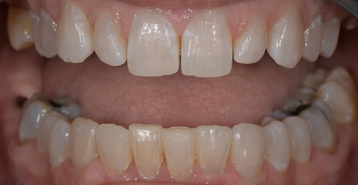
Case 29 – Veneers
Veneers
Get the confidence of a beautiful smile with customized porcelain veneers at James Peterson Family & Cosmetic Dentistry in Coppell, TX. With an array of treatment options to satisfy your goals, Dr. Peterson will help you quickly improve the overall look of your smile with porcelain veneers.
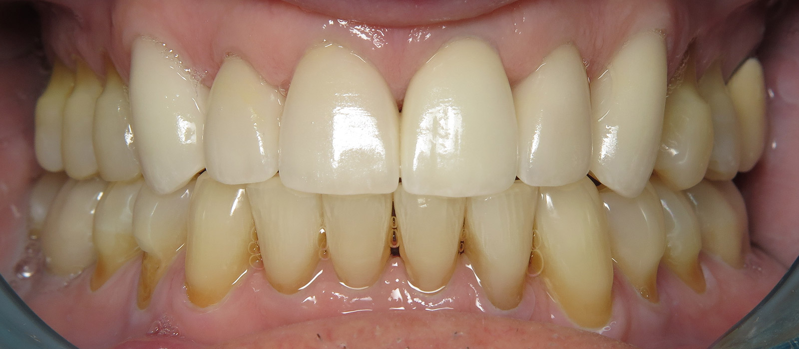
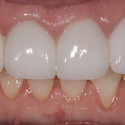
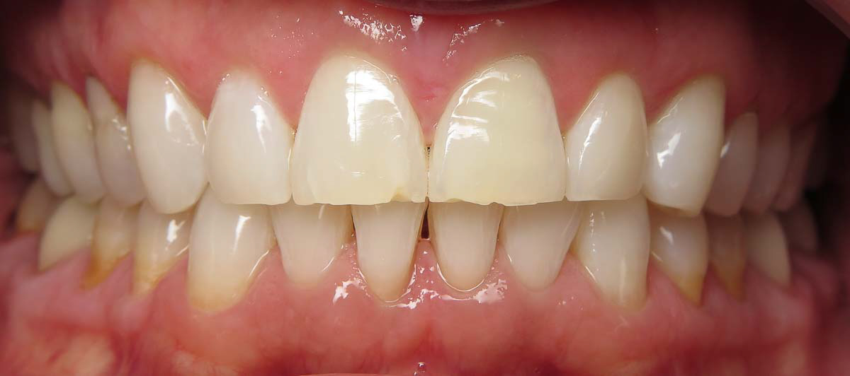
Hide chipped, crooked, decayed, or stained teeth with a single treatment —porcelain veneers. At James Peterson Family & Cosmetic Dentistry, we use veneers to correct multiple flaws at once, for results that are aesthetically pleasing as well as long lasting. Dental veneers are light shells made out of porcelain is bonded to the fronts of your teeth, improving their overall look. Dr. James Peterson offers custom and minimal-prep veneers that can improve the color, size, shape, and length of your teeth.
“Let’s face it, I am a big chicken when it comes to going to the dentist. Anything that remotely involves the sound of a drill puts me into a panic. Considering my desire to have a beautiful smile exceeded my fears, I decided to get veneers with Dr. Peterson. His care and calming nature helped put me at ease. His ability to make it painless was phenomenal. His staff is so kind and professional. I now have the fantastic smile I never thought I would. Highly recommend! Thank you!”
L.D.
“Dr. Peterson and his staff make the dental experience a breeze! I have been a patient since 2005, and Jennifer is my favorite for cleanings. I’ve had crowns, fillings and veneers. Simple, painless (as dental work can be), and professional. I like that they have email reminders and it’s simple to schedule appointments.”
K.B.
Porcelain veneers quickly mask chips and stains on your enamel, improve misaligned or worn-down teeth, and fix teeth that are poorly shaped or spaced. At James Peterson Family & Cosmetic Dentistry, your porcelain veneers will be custom made to fit comfortably over your teeth for an attractive and natural look. At your consultation, Dr. Peterson will listen to your goals and expectations and customize a treatment based on your needs. He will also determine whether you are a good candidate for porcelain veneers by checking your overall oral health for signs of periodontal disease or habitual clenching and grinding, also known as bruxism.
As soon as Dr. Peterson has developed your unique treatment plan with you, he will take physical or digital impressions of your teeth. Depending on your case, your porcelain veneers might be produced in our office while you wait, or the impressions may be sent to a dental laboratory where your custom veneers will be crafted out of high-quality porcelain material. When your porcelain veneers are ready, Dr. Peterson will remove a small amount of enamel from the front of your teeth to create space for the veneers and improve the bond, for more natural results that last for many years. Once your veneers are bonded, Dr. Peterson can make minor adjustments to make your veneers comfortable and achieve the look you want.
After receiving your veneers, you may experience some sensitivity to hot and cold, but this should subside naturally after a few days. You will need to clean your veneers like you do your natural teeth, with regular brushing — using a soft-bristled toothbrush — and flossing. While porcelain veneers are more resistant to stains compared to your natural enamel, you should still avoid staining food and drinks to keep your smile bright for as long as possible. To avoid harming your veneers, you should never chew on hard objects, such as ice or even your fingernails. Continue to schedule dental exams and cleanings at James Peterson Family & Cosmetic Dentistry so we can monitor the condition of your porcelain veneers, teeth, gums, and overall oral health. Dr. Peterson will let you know if your cosmetic veneers ever need to be repaired or replaced.
If you are interested in perfecting your smile or hiding multiple flaws in your front teeth, contact James Peterson Family & Cosmetic Dentistry in Coppell, TX to schedule your appointment today.

Veneers are a long-lasting way to improve your smile’s shape, color, and symmetry.
Many patients choose them for the confidence boost they provide and the natural look they create.
Most veneers last 10–20 years or longer with good home care.
We use high-quality materials and precise techniques to ensure they look natural and hold up over time.
Absolutely. Our focus is always on enhancing your smile in a way that fits your face, personality, and goals, never something that looks artificial.